三博脊柱团队有关颅颈交界区畸形手术治疗的临床论著《Comparison of outcomes between 3D-printed porous titanium alloy and polyetheretherketone cages for atlantoaxial intra-articular fusion in craniovertebral malformations》,在国际权威脊柱外科期刊、美国神经外科协会(AANS)官方期刊脊柱专刊《Journal of neurosurgery: Spine》(JCR Q1,影响因子3.1)线上发表。此研究对颅颈交界区畸形的常用融合器的随访效果进行了报道。
该研究报道的关节间技术,是三博脊柱团队多年来在临床中使用的治疗颅颈交界区骨性畸形的手术方式,用临床实践证明了关节间技术的优良特性和治疗效果。本研究为枕颈和C1-2关节间融合技术和用于关节间融合手术的融合器的应用提供了可靠技术参数和依据。

寰枢椎关节间撑开融合术包括关节间松解、撑开和植入融合器,常用于治疗颅颈交界区骨性畸形。关节间融合器用于C1-2 关节间融合已有20多年。然而,关于关节间融合器在随访过程中的转归却十分有限。本研究旨在报道C1-2 关节间融合器治疗颅颈交界区骨性畸形的随访效果。
本研究回顾性分析接受C1-2 关节间融合器植入术治疗颅颈交界区畸形患者的临床资料。观察测量融合器在术前、术后及随访时的正中矢状面参数。其他评估指标包括临床缓解情况、复位丢失、融合失败、融合器微动以及螺钉-棒系统失效。

▲图1:影像学评估
本研究对融合器的微运动进行了评估,包括:微沉降和微滑移。

▲图2:关节间技术和融合器微运动示意图
结果发现,融合器相关后续命运包括:
1)水平微滑移甚至完全脱出;
2)垂直微沉降甚至全部陷入。这可能导致垂直或水平复位丢失。
以上的严重的并发症(完全脱出、全部陷入)少见,且与未融合相关。多数融合器未出现严重并发症,即相比于术后即刻的影像学资料,关节间融合器在术后至随访过程中有沉降的趋势,但是程度较轻微,且钉棒结构稳定,无松动、断裂迹象。

▲图4:一例患者随访过程中出现融合器沉降、垂直复位丢失、延髓颈髓角加重

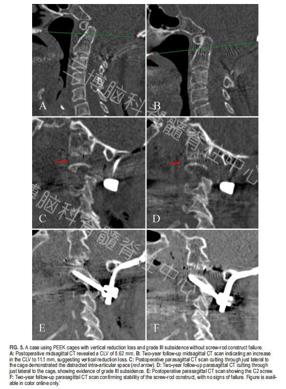
▲图5:一例患者随访过程中出现III度融合器沉降、垂直复位丢失
第一作者:

菅强
首都医科大学博士研究生
纽约哥伦比亚大学访问学者
专注于脊髓脊柱外科疾病研究,尤其是颅颈交界区畸形。在《Spine Journal》《Neurosurgical Focus》《Neurospine》等国际权威期刊发表论文20篇。
通讯作者:

范涛 主任医师、教授、博士生导师
首都医科大学三博脑科医院副院长
脊髓脊柱外科中心主任
首都医科大学神经外科学院副院长兼三系主任
中国非公立医疗机构协会脊柱脊髓专业委员会主任委员
世界华人神经外科协会脊柱脊髓专家委员会副主任委员
中国医师协会神经外科医师分会脊髓脊柱专家委员会副主任委员
北京医学会神经外科分会脊髓脊柱专家组副组长
亚太颈椎学会国际执委
中华医学会神经外科分会脊柱脊髓学组委员
2012年北京优秀中青年医师
自1995年来一直从事脊髓脊柱疾病的手术治疗和临床研究,曾参与脊髓内肿瘤显微外科治疗的研究,获国家科技进步二等奖,北京市科技进步一等奖;北京市科技进步三等奖,并于2012年获得北京优秀中青年医师荣誉称号。
提出缺血予处理对脊髓功能的保护作用(Surgical Neurology, Vol.52(3):299-305, 1999)。以神经显微外科技术+脊柱内固定技术+术中神经电生理技术+微创脊柱手术技术相结合理念,全方位展各种脊髓脊柱外科手术8000余台。包括:显微手术治疗椎管内、脊髓内肿瘤及椎旁、脊柱原发和转移肿瘤的的同时,可采用脊柱内固定技术矫正与维护脊髓肿瘤合并的脊柱侧弯、脊柱后突等严重脊柱畸形。提出Chiari畸形颅颈交界区脑脊液动力学分型及手术治疗策略,进一步完善规范了该类疾病的显微手术治疗策略,发表在 Neurosurgical Review (2017);根据颅底凹陷合并与不合并寰枢椎脱位及脊髓空洞的分类特点,采用减压结合枕颈固定或C1-2固定融合技术治疗先天性颅底凹陷(Neurosurgical Review 2019);采用神经显微外科技术治疗颈椎病、椎管狭窄及脊柱退变性疾病;提出并建立颈椎病单元的理念和方法,改进并提高了颈椎病的治疗方法及效果。采用通道微创脊柱技术治疗腰椎间盘突出和椎管内病变。
专业特长:颅-颈交界区肿瘤的显微手术治疗及颅-颈交界关节稳固技术;环-枕畸形和脊髓空洞症的显微手术治疗;显微手术治疗椎管内、脊髓内肿瘤及椎旁、脊柱原发和转移肿瘤的的同时,可采用脊柱内固定技术矫正与维护脊髓肿瘤合并的脊柱侧弯、脊柱后突等严重脊柱畸形;腰骶皮毛窦、脊髓脊膜膨出、脊髓脊柱裂、骶管内肿瘤、脊髓栓系的显微手术治疗;微创显微手术治疗退行性脊椎病、椎间盘脱出、椎管狭窄、神经根痛和椎管内肿瘤切除及脊柱内固定技术;脊髓脊柱损伤、感染、骨髓炎的显微手术治疗;选择性显微手术脊髓后根切断、高位脊髓切开、脊髓电刺激器安装治疗肢体痉挛和疼痛。
免责声明:市场有风险,选择需谨慎!此文仅供参考,不作买卖依据。
标签: